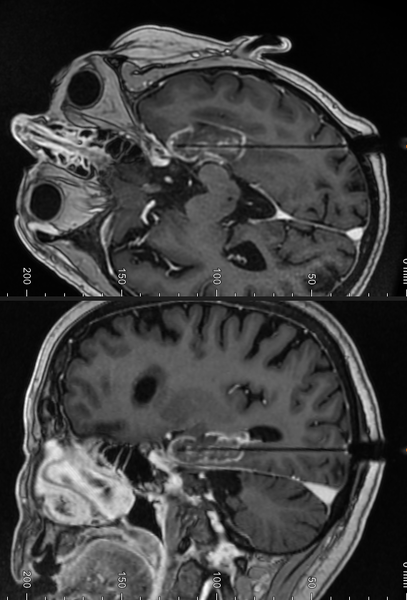
Fil:LITT-MR kateter og læsion.png

Fra NeuroWiki
Version fra 18. jan. 2024, 13:35 af Bo Jespersen (diskussion | bidrag) Bo Jespersen (diskussion | bidrag)
(forskel) ← Ældre version | Nuværende version (forskel) | Nyere version → (forskel)
Spring til navigation Spring til søgning
Oprindelig fil (570 × 840 billedpunkter, filstørrelse: 368 KB, MIME-type: image/png)

Filhistorik

Klik på en dato/tid for at se filen som den så ud på det tidspunkt.

Dato/tidMiniaturebilledeDimensionerBrugerKommentar
nuværende18. jan. 2024, 13:35Miniature af versionen fra 18. jan. 2024, 13:35570 × 840 (368 KB)Bo Jespersen (diskussion | bidrag)

Den følgende side bruger denne fil:

Metadata