Cortex: Forskelle mellem versioner
m Cortex flyttet til Cortex cerebri |
Ingen redigeringsopsummering |
||
| Linje 5: | Linje 5: | ||
== Histologisk struktur af cortex cerebri == | == Histologisk struktur af cortex cerebri == | ||
[[Fil:Cortex histologi.png|300px|thumb|right|Fig.2 Neocortex 6 lag]] | |||
Den flere milimeter tykke cortex af storhjernen indeholder cellelegmer af neuroner, starten / slutningen af axoner og dendritter som er "ledningerne" fra neuronerne, der henholdsvis fører impulser mod cellelegmet (dendritter) eller væk fra cellelegmet (axoner). | |||
Den svenske anatom Brodmann har nummereret storhjernens cortex udfra cytoarkitektoniske variationer i histologisk karateristika. Der er en forbløffende god overensstemmelse mellem Brodmann's områder (area) og lokalisation af en række funktioner, eksempelvis primær motorisk cortex, primær sensorisk cortex, Broca område mm.. | |||
=== Archicortex eller paleocortex === | |||
Udviklingsmæssigt består hjernen af ældre og nyere cortikale områder. | |||
De ældste (archicortex eller paleocortex) har tæt relation til den olfactoriske funktion og emotioner, det limbiske system (eksempelvis mesiale del af temporallappen). Den ældre type cortex har en 3-laget cytoarkitektur. | |||
=== Neocortex === | |||
Neocortex er den udvklingsmøssigt nyere del af storhjernens cortex, som generelt har en 6-laget cytoarkitektur, omend der er variationer: | |||
'''Lag 1''' Det mest superficielle (overfladiske lag) som indeholder få cellelegmer, men mange dendritter og axoner | |||
'''Lag 2''' Består af mange små neuroner med intracortikale forbindelser | |||
'''Lag 3''' Består af mellemstore neuroner hvor fra associations- og commissurale fibre udspringer | |||
'''Lag 4''' Her ender afferente fibre fra specifikke thalamiske kerner | |||
'''Lag 5''' Her starter projektionsfibre til extracorticale mål, som basal ganglier, thalamus, hjernestamme, rygmarv. I primær motorisk cortex indeholde dette lag gigant Betz celler (pyramide celler) som sender efferente fibre til pyramidebanen som er en del af [[Tractus Cortico-Spinalis]] | |||
'''Lag 6''' Indeholder associations- og projektionsfibre | |||
Nedenunder lag 6 starter hvid substans som består af efferente og afferente baner men ikke neuron cellelegmer. | |||
Versionen fra 6. okt. 2012, 14:09

Introduktion til cortex cerebri
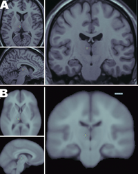
Hjernens cortex opdeles i Gyri og Sulci, hvor ca. 70% af cortex er lokaliseret i sulci, altså ikke umiddelbart synlig når man kigger på hjernens overflade. Lokalisering og udformning af sulci er ganske variable på nær enkelte sulci (lateral fissuren, Fissura interhemispherica, Sulcus Centralis, Sulcus Cinguli og Sulcus Parietooccipitalis) dette ses fint illustreret i Fig.1 hvor der er lavet fusion af MR-skanninger fra 452 hjerner. Man kan se af de fleste sulci og gyri bliver "midlet ud" fordi de har variable lokalisation, mens nogle enkelte tydeligt træder frem, fordi de har en relativt konstant placering. I dybet af lateral fissuren mellem frontallappen og temporallappen er Insula, lokaliseret. De tilstødende dele af frontal- og temporallen på hjernens konveksitet kaldes henholdsvis frontal og temporal operculum, hvor operculum betyder læbe.
Histologisk struktur af cortex cerebri

Den flere milimeter tykke cortex af storhjernen indeholder cellelegmer af neuroner, starten / slutningen af axoner og dendritter som er "ledningerne" fra neuronerne, der henholdsvis fører impulser mod cellelegmet (dendritter) eller væk fra cellelegmet (axoner).
Den svenske anatom Brodmann har nummereret storhjernens cortex udfra cytoarkitektoniske variationer i histologisk karateristika. Der er en forbløffende god overensstemmelse mellem Brodmann's områder (area) og lokalisation af en række funktioner, eksempelvis primær motorisk cortex, primær sensorisk cortex, Broca område mm..
Archicortex eller paleocortex
Udviklingsmæssigt består hjernen af ældre og nyere cortikale områder.
De ældste (archicortex eller paleocortex) har tæt relation til den olfactoriske funktion og emotioner, det limbiske system (eksempelvis mesiale del af temporallappen). Den ældre type cortex har en 3-laget cytoarkitektur.
Neocortex
Neocortex er den udvklingsmøssigt nyere del af storhjernens cortex, som generelt har en 6-laget cytoarkitektur, omend der er variationer:
Lag 1 Det mest superficielle (overfladiske lag) som indeholder få cellelegmer, men mange dendritter og axoner
Lag 2 Består af mange små neuroner med intracortikale forbindelser
Lag 3 Består af mellemstore neuroner hvor fra associations- og commissurale fibre udspringer
Lag 4 Her ender afferente fibre fra specifikke thalamiske kerner
Lag 5 Her starter projektionsfibre til extracorticale mål, som basal ganglier, thalamus, hjernestamme, rygmarv. I primær motorisk cortex indeholde dette lag gigant Betz celler (pyramide celler) som sender efferente fibre til pyramidebanen som er en del af Tractus Cortico-Spinalis
Lag 6 Indeholder associations- og projektionsfibre
Nedenunder lag 6 starter hvid substans som består af efferente og afferente baner men ikke neuron cellelegmer.