Tractus Cortico-Spinalis

Fra NeuroWiki
Spring til navigation Spring til søgning

Tractus Cortico-Spinalis AKA Pyramidebaner

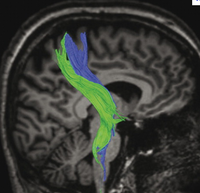
De blå baner er fra den præcentrale region, de grønne fra den postcentrale region


Tractus Cortico-Spinalis bliver ofte opfattet som et rent motorisk nervebundt med oprindelse i motorisk cortex og slutpunkt i forhornet i medulla spinalis.

Dette er dog et stykke fra virkeligeheden, idet kun ca. 30% af nervefibrene i Tractus Cortico-Spinalis stammer fra den præcentrale Gyrus (motorisk cortex) mens 30% stammer fra premotor og supplementary motor cortex, herunder SMA, beliggende foran den præcentrale gyrus. Hele 40% af nerverbanerne stammer fra parietallappen, fra såvel den postcentralgyrus, som fra den superiore parietale lobulus. Funktionen af banerne af parietallappen er ukendt, men da de ender i baghornet af medulla spinalis antages de at have sensorisk modulerende effekt.

Bemærk forløbet af tractus Cortico-Spinalis på den sagitale billede. Bemærk det S-formede forløb hvor forløbet fra Cortex mod Pons har retning mod den posteriore del af fossa cranii anterior. Det er vigtigt at holde sig dette for øje ved kirurgi i området umiddelbart foran gyrus præcentralis.

Banerne forløber først i den viftede formede corona radiata mod capsula internas bagre ben beliggende mellem thalamus og nucleus lentiformis (Globus pallidus og Putamen), herfra videre til crus cerebri, pons og pyramis. Ca. 80% af banerne i Tractus Cortico-Spinalis krydser over til modsatte side i Decusssatio pyramidis i medulla oblongata, ca. 10% forbliver unilaterale, mens de sidste 10% krydser over i medulla spinalis tæt ved deres termineringssted. De krydsede fibre fortsætter caudalt i medulla i tractus corticospinalis lateralis mens de ukrydsede fibre fortsætter caudalt i tractus corticospinalis anterior.

Ca. 55% af de corticospinale fibre ender i cervical medulla, ca. 20% i thoracal medulla og ca. 25% i den lumbosacrale region.


Videoer

Animation af Tractus Cortico-Spinalis 1

{{#ev:youtube|F9gMDf3HHiA}}


Animation af Tractus Cortico-spinalis 2

{{#ev:youtube|9BaWBGRVxp8}}



--Jannick Brennum 23. sep 2012, 15:18 (UTC)