Absces

Fra NeuroWiki
Spring til navigation Spring til søgning

Håndtering af patienter med intrakraniel absces

Anamnese

Ved modtagelse af patienter med intrakraniel absces på neurokirurgisk klinik , optages en fyldig anamnese omfattende bl.a.:

  • tandlægebesøg
  • infektioner i krop og hud
  • smerter

Prøvetagning

Ved ankomsten til afdelingen foretages:

  • venyler
  • blodprøver
  • urin til D+R
  • podning af evt sår

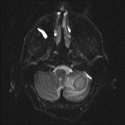
MR diffusion

Hvis patientens tilstand tillader det skal der foretages diffusions MR for at sikre at det drejer sig om absces og ikke tumor.

Operation

NK BV stiller indikationen for evt. akut operation og om der er indikation for at give solumedrol 100mg iv som bolus.

Det er mest hensigstmæssigt at foretage borehuls aspiration eller rammebaseret stereotaktisk aspiration fremfor kraniotomi hvis man mistænker absces.

Antibiotisk behandling

Efter aspiration af abscessen, sættes patienten straks i behandling med:

  • zinacef 3g x 3dgl iv
  • metronidazol 500mg x 3 dgl iv
  • meronem 2g x 3 dgl iv.

Alternativt gives (hvis pt kan tåle dette ):

  • metronidazol 500mg x 3 dgl iv
  • penicillin 5MIE x 4 dgl iv

Behandlingen startes umiddelbart efter der er taget materiale ud til diagnostik (altså inden operationens afslutning).

Der skal tages 1 spidsglas til mikroskopi samt 2 pædiatriske kolber til D+R som sendes til mikrobiologisk afd akut. (Spidsglas alene er ikke nok da man tit ikke kan dyrke fra det).

Vent herefter på tilbagemelding fra vagthavende mikrobiolog mht mikroskopi.De vil informere om AB beh skal rettes. Der går ca 1 time fra man har sendt prøven med taxa. Der skal altid aftales mikroskopi med vagthavende mikrobiolog telefonisk.

Hvis patienten har fået foretaget intrakraniel eller anden kirurgi inden for den sidste tid – kontakt da vagthavende mikrobiolog inden operationen , da de så nogle gange vil anbefale tazosin istedet for meronem eller muligvis cefalosporiner.

Udredning

Kontakt Infektionsmedicinsk vagthavende mhp overtagelse af patienten efter aspiration, subsidiært udrednings- og behandlingsplan hvis der er behov for at patienten forbliver indlagt i neurokirurgisk regi.

Videre udredning ved ukendt fokus omfatter typisk:

  • rtg af thorax
  • ortopantomografi
  • CT af bihuler
  • ekkocardiografi.

Tilsyn

Bestil:

  • cardiologisk tilsyn
  • ØNH tilsyn
  • kæbekirurgisk tilsyn.

Hyppigste fokus er tænder, sinus ,ører , lunger og hjerte men det kan også komme fra huden knoglerne og andre steder i kroppen via blodbanen.

Hvis fokus ikke kan findes skal man gå videre med knogleskintegrafi, UL/CT af abdomen og evt GU.

Typisk er patienterne ikke indlagt så længe på neurokir afd, men kommer videre til medicinsk afd mhp længerevarende iv AB behandling. Det er defor den udskrivende læges ansvar at skrive i epikrisen hvilke US der er foretaget, og hvis fokus ikke er fundet hvilke US modtagende afd skal gå videre med.

Patienterne vil være i iv AB beh i ca 2 mdr før de kan overgå til peroral beh. Denne beslutning tages ved af følge patientens infektionsparametre samt scanninger for at sikre at absces kaviteten bliver mindre.

Re-punktur af abscessen kan komme på tale hvis man på scanningerne kan se at absces kaviteten ikke mindskes.

CT cerebrum

CT

Akut mikroskopi

Når materialet fra cerebrale abscesser er udtaget ved en operation - uanset punktur eller åben operation - skal dette overrækkes personligt til vagthavende mikrobiolog , der efter telefonisk henvendelse skal møde op på vor operationsgang. Man får vagthavende mikrobiologs telefonnr. via Omstillingen tlf.nr: 99.

Hvis mikrobiologen undtagelsesvis ikke kan modtage prøvemateriale direkte, er det kirurgens opgave at sikre, at prøvematerialet bliver bragt til mikrobiologisk afdeling, og ikke blot sættes i et køleskab "på gangen".

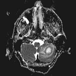
Diffusionsvægtet MR-skanning

DWI ADC

En absces er hvid (White) på DWI (Diffusion Weighted Imaging, det samme som isoB1000) og sort (Dark) på ADC (Apparent Diffusion Coefficent).

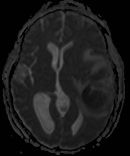
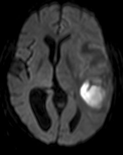
Hvorledes ser en cystisk tumor ud på diffusionsvægtet MR?

CT DWI ADC

En cystisk tumor er mørk på DWI og lys på ADC