PET
PET-SKANNING

PET-scanning er en nuklearmedicinsk teknik til fremstilling af snitbilleder (tomografi), som anvendes til afbildning af organers stofoptagelse og stofomsætning. PET-scanning adskiller sig derved fundamentalt fra anden medicinsk scanning (CT-scanning og MR-scanning), som fortrinsvis fremstiller billeder af kroppens opbygning.
Til PET-scanning anvendes positroner, som udsendes (emitteres) af radioaktive isotoper af en del grundstoffer, bl.a. den levende organismes almindeligste byggesten, fx kulstof, ilt og kvælstof. Isotoperne produceres i en cyklotron, og positronerne udsendes ved radioaktivt henfald med ofte meget kort halveringstid (2 min for iltisotopen og 110 min for fluorisotopen). Isotoperne kan indbygges i organiske molekyler og lægemidler, hvis fordeling i organismen registreres vha. gammastråler, som dannes ved den energi, som frigøres, når en positron og en elektron udslettes (annihileres) ved sammenstød. Registreringen foregår vha. et særligt gammakamera. Den radioaktive bestråling ved en enkelt PET-scanning er af samme størrelsesorden som den kosmiske stråling ved Jordens overflade i et år.
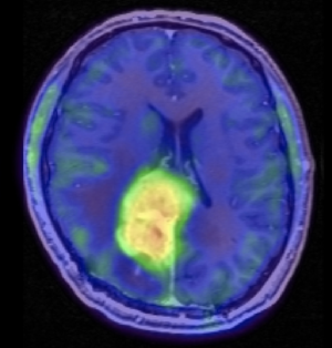
PET-scanning er en forkortelse for positron-emissions-tomografi. Siden slutningen af 1990'erne har PET-scanning især vist sig klinisk anvendelig inden for diagnostik og behandling af kræft. Til påvisning af kræftsvulster anvendes helt overvejende et sporstof (18FDG), hvor en radioaktiv fluorisotop er bundet til sukkermolekylet deoxyglukose. Kræftceller optager sukker hurtigere end normale celler, og derfor vil koncentrationen af radioaktivitet være størst i kræftcellerne. Den efterfølgende billedoptagelse med en PET-scanner vil da vise svulster og metastaser som lysende pletter.
PET-scanning anvendes til bestemmelse af en kræftsvulsts størrelse og udbredelse, til vurdering af, om en behandling har effekt, og til opfølgning med henblik på, om en kræftsygdom er brudt ud igen. En række andre sporstoffer er under udvikling for at øge den diagnostiske sikkerhed ved mistanke om kræft, fx 18fluor-tyrosin, 11carbon-methionin og 11carbon-cholin. Vid en række hjernetumorer anvendes FET-PET, hvor sporstoffet er (18)F-fluoro-ethyl-tyrosine.
Senest er PET-scanning blevet kombineret med CT-scanning i en såkaldt PET/CT-scanner. Man kan således med PET-scanning påvise en kræftsvulst og med CT-scanning nøjagtigt bestemme dens lokalisation.
Til diagnostik af hjernesvulster anvendes PET-scanning kombineret med MR-scanning af hjernen, hvor billederne fra de to teknikker lægges sammen.
--Jannick Brennum 31. mar 2018, 16:36 (UTC)